做半口种植需要多长时间?
传统的种植牙种半口需要至少半年的时间,而康贝佳先进的ALL-ON-4微创即刻用种植技术,恢复半口牙仅需要植入4-6颗种植体,同时可以实现当天种牙当天用。

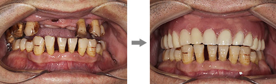
李大爷由于没有保护好牙齿,再加上长期有抽烟的习惯,导致牙齿逐渐松动脱落,由于多颗牙缺失影响饮食后李大爷无奈戴上了活动假牙,然而假牙并没有解决李大爷的问题,很多东西不能咬,此外几年后李大爷仍有几颗牙相继下岗,最终导致半口牙全军覆没。
活动假牙使用起来非常不方便,在朋友的介绍下李大爷来到南京康贝佳口腔医院,想试试经常在报纸上看到的种植牙。
康贝佳胡主任为李大爷做了详细的口腔检查,并采用了ALL-ON-4技术,整个手术过程仅仅30分钟,只需4颗植体就恢复了半口牙,不仅创伤小、疼痛轻,恢复快,且为李大爷省了近一半的费用。
种牙后的李大爷表示以前一直怕种牙疼,现在种完才知道几乎没有疼痛感,后悔没早点来种牙,现在晚年幸福终于有了很大的保障,想吃什么就吃什么。

为了种好每一颗牙,南京康贝佳口腔医院引进先进的诊疗设备,数十万口腔种植案例数据库以及中、德、意、韩种植牙博士,共同设计方案,优化每一项步骤。
对于年纪较大、体弱、半全口缺牙中老年人来说,采用ALL-ON-4微创即刻用种植技术,采用斜拉式力学设计利用多个天然承重点,4颗牙根便可承受来自多方向的力即可恢复半口牙,在骨量严重萎缩的情况下,也无需植骨。并且甚至可以实现当天种植当天用,同时节省至少1/3的费用。

从术前诊断、手术种植、术后修复等一体化流程,通过口腔数字全景检查和CT片、牙槽骨条件测量、三维模拟种植、血常规检查,制定个性化专属种牙方案,根据缺牙老人的时间、费用、年纪多方面综合考虑,做到让缺牙老人放心种牙,满意种牙。

作为全国连锁专业的口腔医院,康贝佳专注单颗、多颗,半口、全口种植牙,特邀中/德/意/韩种植博士专家亲诊,定期与国内外知名口腔医院进行经验交流及学术研讨,与瑞典诺贝尔、瑞士SIC、德国ICX等高端品牌紧密合作,大力推广即刻用种植牙体系,实现老人舒适快速种牙的需求,快速用新牙享美食,畅享口福。

缺牙数量多能种牙吗?
种植牙适应症非常广泛,多数牙缺失是可以做种植牙的。能否承受种植牙手术,主要取决于自身的全身健康状况和种植医生的技术。自身的种牙数目及位置没有特殊限制。